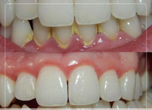
Dişçiye Gitmemek İçin Dişlerinizi Bu Yağ ile Fırçalayın
Uygulanışı hakkında bilgi 3 adet yağdan birer damla diş fırçanıza alarak diş macunuyla fırçalar gibi 3-4 dakika fırçalama yapıp ağzınızı durulamanız yeterli. Bu işlemin diş sağlığınıza faydalarını anlatmak bizim için çok keyifliydi, sizlere her zaman faydalı bilgi vermek için burada olacağız Sağlık Paylaşımları’nı sosyal medya hesaplarımızdan takip ederseniz paylaştığımız fikirlerden ilk sizin haberiniz olur.
NOT: DOKTOR TAVSİYESİ DEĞİLDİR. BİLGİ AMAÇLIDIR.
Ağzınızı dezenfekte etmek için belkide en etkili yağlardan biri olan çay ağacı yağı, ağız içi yaraların iyileşmesine, mantar oluşumuna ve çeşitli virüslerin barınmasına izin vermez. Bu nedenle çay ağacı yağı ile dişlerini fırçalayanlarda ağız kokusu göremezsiniz. Ağız kokusunun en önemli sebeplerinden biri ağız içi bakteri ve plak oluşumu olarak bilinmektedir.
Bir diğer faydalı yağımız ise karanfil yağı. Doktorların ağız bölgemizi uyuşturmak için kullandıkları iğnelerin içeriğinde doğal karanfil özü bulunduğu bilinir. Uyuşturma özelliği olduğu gibi antioksidan içerdiğinde dişlerin ihtiyacı olan mineralleri de içinde bulundurur. Biraz araştırırsanız bazı diş macunlarının içeriğinde az miktarda karanfil olduğunu görebilirsiniz.
Bu iki yağın karışımı sonrasında ortaya ne denli faydalı bir doğal diş macunu çıkacağını siz düşünürken, bende nasıl kullanacağınız konusunda yardımcı olayım. Kullanımı hakkında bilgi Öncelikle yukarıda belirttiğimiz yağların dışında bu fırçalama işlemi için hindistan cevizi yağına da ihtiyacımız var. Hindistan cevizi yağını ağzımızda iyi bir aroma bırakması için kullanıyoruz, tercih etmek istemeyenler iki yağ ile de dişlerini fırçalayabilirler.
Uygulanışı hakkında bilgi 3 adet yağdan birer damla diş fırçanıza alarak diş macunuyla fırçalar gibi 3-4 dakika fırçalama yapıp ağzınızı durulamanız yeterli. Bu işlemin diş sağlığınıza faydalarını anlatmak bizim için çok keyifliydi, sizlere her zaman faydalı bilgi vermek için burada olacağız Sağlık Paylaşımları’nı sosyal medya hesaplarımızdan takip ederseniz paylaştığımız fikirlerden ilk sizin haberiniz olur.
NOT: DOKTOR TAVSİYESİ DEĞİLDİR. BİLGİ AMAÇLIDIR.
